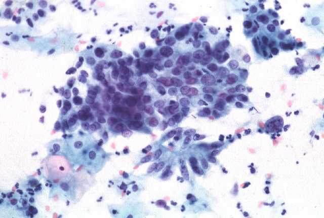
Figure 23a

Endocervical adenocarcinoma (well differentiated)